أمٌّ كازاخستانية تتغلب على سرطان أنفي نادر في غوانزو
None
Date:2025-08-30Author:From:FUDA
"انظروا، أنفي أصبح نظيفًا أخيرًا!" أشارت ماكا (اسم مستعار) بحماس إلى أنفها، مُظهرةً التغيير الباهر للطاقم الطبي المحيط بها. ابتسامتها، وهي من كازاخستان في آسيا الوسطى، تُشعّ بشعورٍ من الراحة طال غيابه.
قبل بضعة أشهر فقط، كانت تعاني من احتقان أنفي مستمر، ونزيف أنفي متكرر، وفقدان حاسة الشم، تُعيق حياتها اليومية. بدأ كل شيء في يناير 2025.
في ذلك الوقت، بدأت ماكا تُعاني من ألمٍ مُستمر في الجانب الأيسر من وجهها، وإحساسٍ بجسمٍ غريب عند البلع، ودمٍ في أنفها أحيانًا. خضعت لفحوصاتٍ في مستشفى محلي، وشُخّصت إصابتها بـ"آفةٍ تشغل حيزًا في الجيب الفكي الأيسر". كشف تقرير التشريح المرضي بعد الاستئصال الجراحي عن وجود ساركوما مسخية في الجيب الفكي.
ومع ذلك، بعد أقل من شهرين من الجراحة، ازداد الألم في وجهها الأيسر، وظهرت كتلة جديدة في تجويف أنفها. وبسبب الاشتباه الكبير في إصابتها بورم خبيث، قررت ماكا السفر إلى موسكو لتلقي المزيد من العلاج. وأكدت الخزعة في النهاية إصابتها بورم الأرومة العصبية الشمي. وأوصى الأطباء في موسكو بعودتها إلى الصين لتلقي العلاج الكيميائي.
ورم الأرومة العصبية الشمي
ورم الأرومة العصبية الشمي هو ورم خبيث نادر ينشأ في الظهارة الشمية فوق الأنف. أعراضه المبكرة غير نمطية، وتتمثل في احتقان الأنف ونزيفه. ومع تقدم المرض، يمكن أن يؤدي إلى ضعف حاسة الشم، والصداع، وحتى ضعف حركة العين.
يُعد ورم الأرومة العصبية الشمي شديد الحساسية للعلاج الإشعاعي، ولكنه أيضًا عرضة للانتكاس في نفس الموقع. لذلك، تُستخدم حاليًا استراتيجية علاج شاملة تجمع بين الجراحة والعلاج الإشعاعي، والعلاج الكيميائي حسب الحاجة. قد يستفيد بعض المرضى أيضًا من العلاج الكيميائي أو العلاج الإشعاعي التمهيدي قبل الجراحة.
أصاب الورم ماكا بإرهاق جسدي ونفسي بسبب صعوبات التنفس، ونزيف الأنف المستمر، والصداع المستمر. نصحها أحد الأصدقاء بالتعرف على التشخيص والعلاج الناجح للأورام الصعبة في مستشفى غوانزو فودا للسرطان في الصين. ومع بصيص أمل أخير، سافرت هي وعائلتها إلى غوانزو، حيث أُدخلت إلى القسم الطبي الثالث في مستشفى فودا.
عندما أُدخلت ماكا إلى المستشفى لأول مرة، كان تجويف أنفها مسدودًا بالكامل تقريبًا بسبب الورم. وقد غزا الورم البلعوم الأنفي والجيب الغربالي الأيسر والجيب الفكي على نطاق واسع، مع تدمير موضعي للعظام المحيطة بها. وظهرت عدة عقد ليمفاوية نقيلية في رقبتها، وارتفع مستوى مستضد السرطان الجنيني لديها بشكل ملحوظ. في مواجهة هذه الحالة المعقدة، بادر الطبيب المعالج الدكتور تشو غوي تشينغ على الفور بإجراء استشارة متعددة التخصصات.
بعد مناقشات معمقة وتقييم شامل، وضع الفريق الطبي خطة علاجية مخصصة لماكا: في البداية، تم إعطاء العلاج الكيميائي داخل الشرايين والانسداد الكيميائي الشرياني للسيطرة على نشاط الورم وتقليل النزيف. كما تم إعطاء جرعات إضافية من العلاج الكيميائي للتحضير للعلاج الإشعاعي الجذري اللاحق. كما تم إعطاء العلاج المناعي أثناء العلاج.
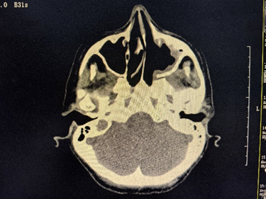
بعد الجولة الأولى من العلاج، خفت حدة احتقان الأنف والنزيف لدى ماكا بشكل ملحوظ، وقل إحساسها بوجود جسم غريب عند البلع بشكل كبير. بعد إكمال الدورة الثانية من العلاج، فوجئت بسرور عندما وجدت أنها تستطيع التنفس من أنفها مرة أخرى، وعادت حاسة الشم لديها إلى طبيعتها! كشف التصوير الشعاعي المتابعة عن انخفاض كبير في حجم الورم في تجويف الأنف والجيوب الأنفية، واستقرت علامات الورم لديها تدريجيًا. تشير جميع هذه العلامات إلى أن خطة العلاج الحالية ناجحة.

△ قبل العلاج

△ بعد دورتين من العلاج
استقرت حالة ماكا تدريجيًا، وتحسنت حالتها العامة بشكل ملحوظ. بعد مراجعة نتائج التصوير بشكل مشترك من قبل الفريق الطبي وقسم الأورام الإشعاعية، اتخذت ماكا قرارًا حاسمًا: التخلي عن العودة إلى الصين لتلقي العلاج المجاني، والبقاء في جامعة فودان لإكمال علاجها الإشعاعي الجذري. قام الفريق الطبي بإعطائها في الوقت نفسه دواء سيسبلاتين الكيميائي لتعزيز التحسس الإشعاعي، وتحسين فعالية العلاج، وتقليل حجم الورم المستهدف، وتقليل الآثار الجانبية.

△ تم زرع منفذ ضخ في الذراع، مما وفر لها شريان حياة آمنًا ومريحًا للعلاج الكيميائي والدعم الغذائي اللاحق.
"لقد ساعدتني حقًا!" لم تُفاجأ ماكا وعائلتها بهذا التحسن. "الطاقم الطبي هنا ممتاز، وفريق الترجمة محترف للغاية، والتكنولوجيا الطبية مذهلة." بل تأثرت أكثر لأن السيدة لي لينغشي، المسؤولة عن الترجمة، أعدت خصيصًا لها ورقة صينية حمراء مقطوعة ترمز إلى "البركات والحظ". هذه البركة، التي ترمز إلى الصحة وطول العمر، جعلت ماكا تشعر وكأنها في وطنها حتى في بلد أجنبي.

-

العلاج التدخلي الأوعية الدموية الدقيقة—Cancer Vascular Intervention, CVI...
-

Yang Qingfeng دكتور...
العلاج بالتجميد
العلاج الاجتثاث بطريق النانو نايف
العلاج التدخلي الأوعية الدموية الدقيقة—Cancer Vascular Intervention, CVI
العلاج الإشعاعي الموضعي
العلاج المناعي
علاج الاجتثاث بتقنية المايكرويف
العلاج الضوئي الديناميكي
-
المستشفى الوطني الرئيسي الخاص للأورام -
مستشفى فودا للسرطان حاصل على شاهدة (JCI) الجودة الطبية العالمية -
المركز الآسيوي للتدريب على العلاج بالتجميد -
مركز كوانجوا الطبي الحيوي التابع للأكاديمية الصينية للبحوث والعلوم
